Insight Horizon News

Your trusted source for comprehensive news and insightful analysis

business

Does encephalopathy show up on ct scan?

Written by James Stevens — 0 Views

Brain scans A scan of the brain can help show whether you have encephalitis or another problem such as a stroke, brain tumour or brain aneurysm (a swelling in an artery). The 2 main types of scan used are: a CT scan.

How do you test for encephalopathy?

How is encephalopathy diagnosed?
  1. blood tests to detect diseases, bacteria, viruses, toxins, hormonal or chemical imbalance, or prions.
  2. spinal tap (your doctor will take a sample of your spinal fluid to look for diseases, bacteria, viruses, toxins, or prion)
  3. CT or MRI scan of your brain to detect abnormalities or damage.

Can a CT scan show inflammation in the brain?

When done with a contrast dye that is injected during the test, CT scans can highlight brain tissues to determine whether the meninges are inflamed. A CT scan can also show whether there is inflammation of the skull or sinuses, which may be helpful in diagnosing meningitis.

Does encephalopathy show up on MRI?

MRI is the imaging modality of choice and is often the first indicator of an encephalopathy as a possible cause of symptoms.

How do you rule out encephalitis?

Samples of blood, urine or excretions from the back of the throat can be tested for viruses or other infectious agents. Electroencephalogram (EEG). Electrodes affixed to your scalp record the brain's electrical activity. Certain abnormal patterns may indicate a diagnosis of encephalitis.

How to Read a CT Scan of the Head - MEDZCOOL

44 related questions found

How can you tell the difference between encephalitis and encephalopathy?

Encephalitis often shows symptoms of infection that can be detected in laboratory tests, whereas encephalopathy is a gross brain dysfunction that could be due to many reasons such as drug effect, toxins, or lack of oxygen and can even clinically be detected.

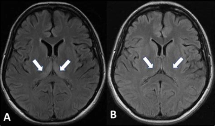
What does encephalitis look like on CT?

Head CT commonly shows areas of edema or petechial hemorrhage in the same areas. EEE and tick-borne encephalitis may show similar increased MRI signal intensity in the basal ganglia and thalamus. In toxoplasmosis, contrast-enhanced head CT typically reveals several nodular or ring-enhancing lesions.

What criteria are used to determine a medical diagnosis of encephalopathy?

The diagnosis of encephalopathy is usually made with clinical tests done during the physical examination (mental status tests, memory tests, and coordination tests) that document an altered mental state. In most cases, findings on clinical tests either diagnose or presumptively diagnose encephalopathy.

Is encephalopathy swelling of the brain?

In encephalitis, the brain itself is swollen or inflamed. Encephalopathy, on the other hand, refers to the mental state that can happen because of several types of health problems. But encephalitis can cause encephalopathy.

Can you recover from encephalopathy?

Doctors can often treat encephalopathy, and many people make a full recovery. With treatment, impaired brain function may be reversed. However, certain types of encephalopathy are life-threatening.

Will CT scan of head show aneurysm?

An X-ray image of the head, processed by a computer into two- and three-dimensional images of the skull and brain. A CT scan can show the presence of an aneurysm and, if the aneurysm has burst, detects blood that has leaked into the brain.

What can a CT scan of the brain show?

A CT head scan takes detailed X-rays at different angles of the head and brain to identify conditions such as brain tumors, aneurysms, and others.
...
CT head scans are used for
  • abnormal blood vessels,
  • aneurysms,
  • bone infection,
  • brain damage,
  • brain swelling,
  • brain tumors, or.
  • stroke.

What can a CT scan with contrast detect?

CT scans can detect bone and joint problems, like complex bone fractures and tumors. If you have a condition like cancer, heart disease, emphysema, or liver masses, CT scans can spot it or help doctors see any changes. They show internal injuries and bleeding, such as those caused by a car accident.

What lab test indicates encephalopathy?

An ammonia levels test may be used to diagnose and/or monitor conditions that cause high ammonia levels. These include: Hepatic encephalopathy, a condition that happens when the liver is too diseased or damaged to properly process ammonia. In this disorder, ammonia builds up in the blood and travels to the brain.

What labs check for encephalopathy?

Blood Test for Encephalitis
  • X-ray.
  • Magnetic resonance imaging (MRI)
  • Computed tomography scan (CT scan)
  • Blood test.
  • Urinalysis.
  • Fecal occult blood test (FOBT)
  • Sputum cytology.
  • Electroencephalography (EEG)

Is encephalopathy a neurological disorder?

The hallmark of encephalopathy is an altered mental state. Depending on the type and severity of encephalopathy, common neurological symptoms are progressive loss of memory and cognitive ability, subtle personality changes, inability to concentrate, lethargy, and progressive loss of consciousness.

Can EEG detect encephalopathy?

Most importantly, EEG can differentiate between a true acute encephalopathy and epileptic states or psychiatric conditions. Although EEG is very sensitive in detecting an acute encephalopathy, it is not usually etiologically specific. The usefulness of EEG in chronic encephalopathy is less clear.

Is encephalopathy acute or chronic?

Acute encephalopathy is characterized by an acute or subacute global, functional alteration of mental status due to systemic factors. It is reversible when these abnormalities are corrected, with a return to baseline mental status. Acute encephalopathy may be further identified as toxic, metabolic, or toxic-metabolic.

What is the difference between delirium and encephalopathy?

Acute encephalopathy and delirium are clinically similar, but for coding purposes, very different. Delirium is a low-weighted symptom; encephalopathy is a serious, high-weighted medical condition. Delirium is usually due to an underlying encephalopathy, and clinicians should document as such if clinically present.

What is drug induced encephalopathy?

Drug-induced encephalopathy is a disease entity often caused by impaired cerebral metabolism that is not attributed to structural brain lesions. However, some drug-induced encephalopathies can develop structural lesions and share other underlying pathophysiological mechanisms (table 2).

What are the symptoms of toxic encephalopathy?

The symptoms of acute and chronic toxic encephalopathy do not resolve with cessation of exposure and can include memory loss, dementia, small personality changes/increased irritability, insidious onset of concentration difficulties, headache, lightheadedness, ataxia, involuntary movements (parkinsonism), fatigue, ...

Which of the following are symptoms of encephalitis?

These are the most common symptoms of encephalitis:
  • Headache.
  • Mild flu-like symptoms (aches, fatigue, slight fever)
  • Sensitivity to light.
  • Neck stiffness.
  • Sleepiness or lethargy.
  • Increased irritability.
  • Seizures.
  • Changes in alertness, confusion, or hallucinations.

Can you have encephalitis with a normal MRI?

The brain MRI is normal in approximately 60% of patients with anti-NMDAR encephalitis. Very few studies have systematically investigated neuroimaging in all-cause encephalitis. Research is needed to better define associations between neuroimaging results and specific encephalitis aetiologies.

What is autoimmune encephalitis?

Autoimmune encephalitis is a collection of related conditions in which the body's immune system attacks the brain, causing inflammation. The immune system produces substances called antibodies that mistakenly attack brain cells.