Insight Horizon News

Your trusted source for comprehensive news and insightful analysis

environment

Do nabothian cysts bleed?

Written by John Parsons — 0 Views

These cysts are full of mucus and can burst. It's not uncommon to have discharge, odor, and bleeding when they rupture. If the odor and discharge persist, do see your doctor.

Do nabothian cysts cause discharge?

Nabothian cysts are full of mucus and can rupture. If a nabothian cyst does burst, a person may notice unusual discharge or odor from the vagina. If this continues, they should see their doctor to check the cause.

Can cervical cancer be mistaken for nabothian cysts?

The tumor appears benign and can be misdiagnosed as multiple nabothian cysts. This rare variant of adenocarcinoma of the cervix accounts for about 1%–3% of all cervical adenocarcinomas.

What are the symptoms of Nabothian cyst?

Possible Symptoms of Nabothian Cysts
  • Cysts measuring few millimeters to 4 centimeters in diameter.
  • Smooth texture.
  • White or yellow in appearance.
  • Severe pain in the cervical region, especially during sexual intercourse.
  • Pelvic pain.
  • Dragging sensation.
  • Raised bumps.
  • Irregular bleeding and vaginal discharge.

What do nabothian cysts look like?

Nabothian cysts are cysts filled with mucus that look like tiny bumps on the surface of the cervix. They are usually 2 millimeters to 10 millimeters in diameter, and they contain mucus that ranges in color from pale yellow to amber.

What are Nabothian cyst?

40 related questions found

Why do Nabothian cysts occur?

In most cases, nabothian cysts occur when new tissue regrows on the cervix after childbirth. This new tissue blocks the openings of the cervix's nabothian glands, trapping their mucous secretion in tiny pockets under the skin. Nabothian cysts are a normal finding on the cervix of women who have had children.

What are cervical Nabothian cysts?

Cervical cysts aren't cancerous. The most common variety is a nabothian (nuh-BOW-thee-un) cyst, which forms when normal tissue on the outer part of the cervix grows over the glandular, mucus-producing tissue of the inner part of the cervix. When mucus, fluid or tissue becomes trapped, a cyst forms.

What happens when a cyst burst in your uterus?

Cysts can develop in response to a pelvic infection (called an abscess). If an infected cyst ruptures, it can trigger sepsis, a life-threatening immune response to harmful bacteria. Women with infected cysts are treated with antibiotics and sometimes require hospitalization for surgical drainage of the cyst.

What is the meaning of nabothian cyst?

A nabothian cyst is a lump filled with mucus on the surface of the cervix or cervical canal. The cervix is located at the lower end of the womb (uterus) at the top of the vagina. It is about 1 inch (2.5 centimeters) long. The cervix is lined with glands that normally secrete mucus.

Do cervical cysts bleed?

These cysts are full of mucus and can burst. It's not uncommon to have discharge, odor, and bleeding when they rupture. If the odor and discharge persist, do see your doctor.

Do nabothian cysts need treatment?

Nabothian cysts do not normally require treatment. In rare cases the cysts may become large and cause symptoms or distort the shape of the cervix which may require aspiration of the mucus or removal of the cyst in order to adequately examine the cervix.

How big is a Nabothian cyst?

Nabothian cysts are mucus-filled cysts that occur on the surface of the cervix. They are usually 0.2 to 0.3 cm in diameter, but they can exceed 1 cm in diameter. In most cases, nabothian cysts reflect the physiological changes in the cervix, but they are sometimes related to chronic cervicitis.

What does it mean when your cervix bleeds easily?

Pregnancy hormones can cause the cervix to become more sensitive than usual. This is because of the increased blood supply in the tissues surrounding the cervix. This increased sensitivity means that any irritation to the cervix, such as intercourse or an internal examination, can result in spotting or bleeding.

What is a Paraovarian cyst?

A paraovarian cyst is a fluid-filled sac found in the fallopian tubes near your ovaries. It might also be called paratubal cyst or a hydatid cyst of Morgagni. These cysts usually don't cause any symptoms and often aren't discovered unless you have surgery or other problems.

Are cervical cysts common?

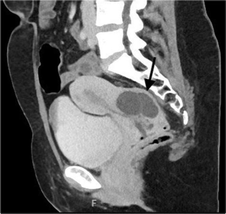
Nabothian cysts (also called mucinous retention cysts or epithelial cysts) are common and benign and are considered a normal feature of the adult cervix (Figure 1, C). Many women have multiple cysts. They may be translucent or opaque, whitish to yellow, and range from a few millimeters to 3 to 4 cm in diameter.

What color is ovarian cyst discharge?

Ovarian cysts can cause uterine bleeding before or after menstruation, and this mixed with the woman's natural secretions can come out as a brown discharge, but there are often other symptoms, such as pain during ovulation or during or after sexual intercourse, vaginal bleeding which is not part of the menstruation, ...

Can a cyst come out in your period?

It is normal for a woman to experience having at least one ruptured cyst a month because during a normal menstrual cycle, the ovaries produce a cyst that intentionally ruptures to release an egg, allowing the woman to become pregnant.

Can cyst rupture during period?

Normal, physiologic cysts can grow, rupture and bleed every month, as part of your normal menstrual cycle,” says Cara King, DO, Director of Benign Gynecologic Surgery.

Can I get pregnant if I have Nabothian cyst?

A case was reported in the literature of a spontaneous pregnancy after obstructive nabothian cyst treatment [8] . Cervicitis may contribute to infertility by fibrosis and cervical stenosis [9] .

Do cervical cysts go away on their own?

Nabothian cysts rarely cause serious complications and will often go away without treatment. However, large nabothian cysts can deform the shape of the cervix. These cysts may require excision or surgical removal.

Can you feel bumps on your cervix?

Most women have nabothian cysts and their presence is normal. They are usually found during a routine pelvic exam and appear as a small, smooth rounded lump or collection of lumps on the cervix. They usually don't need to be treated.

Are Nabothian cysts pathologic?

Nabothian cysts (also called mucinous retention cysts or epithelial cysts) are a common and benign gynecological condition located at the uterine cervix. They are usually asymptomatic, of no clinical significance, and require no treatment.

What is a corpus luteum cyst?

A corpus luteum cyst is a type of ovarian cyst (a small, fluid-filled sac). The corpus luteum itself is a vital, but temporary temporary endocrine structure. It forms from cells in the ovarian follicle wall during ovulation.

What is a hemorrhagic cyst?

Hemorrhagic ovarian cyst (HOC) is an adnexal mass formed because of occurrence of bleeding into a follicular or corpus luteum cyst (1). Hemorrhagic cysts are commonly seen in clinical practice because hemorrhage into a cyst is usually painful, triggering the patient to consult her physician.